The clear choice for your practice
Crafting flawless smiles with enhanced precision, quicker turnaround times, all delivered with Denka's impeccable service.
Start Your Clear Aligner Journey in Peterborough with Denkalign
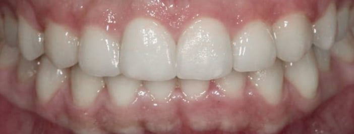
Avoiding photos or smiling with closed lips to hide your teeth? You're not alone. If you’ve been dreaming of a straighter smile that gives you the confidence to smile more, Denkalign Clear Aligners could be the perfect solution.
These virtually invisible clear aligners, available right here in Peterborough, gently and discreetly straighten your teeth—without the need for metal braces. Comfortable, removable, and custom-made just for you, Denkalign aligners let you transform your smile without interrupting your lifestyle.
Straighter teeth in as little as 4 months*
Significant savings compared to traditional braces
A more affordable option than many other clear aligner brands
Clear treatment timelines so you know exactly how long it will take, with no unexpected delays or extra steps like other providers.
Expert care from a qualified dentist right here in Peterborough!
Request a free smile more consultation

Request a free smile design consultation
You're just 3 steps away from a perfect smile

Step 1
Initial Assessment
The free assessment is with one of the Dentists at RTW Surgeries not a sales person. Who will give you information on timelines and estimated costs, along with answering any questions you may have.

Step2
Smile Journey Begins
Once your assessment has been completed a treatment plan is generated and the aligners are manufactured. You will start wearing your aligners within as little as 2 weeks, beginning your journey to a perfect smile.

Step 3
Keep Smiling
Once your treatment is complete and your desired smile has been achieved you will be issued with a retention plan to ensure your new smile stays perfect. We do this as teeth continue to move throughout your life.
Pricing
It's hard to give an exact price until you've had a clinical assessment with a dentist. However, these guideline price ranges give you an idea. The cost depends on whether you need straightening for just your top or bottom teeth (a single arch), or both, and how complex the treatment is.
Simple
Correction:
Crowding on 3-4 Teeth
Treatment Time:
2 - 5 months
Single Arch:
From £1200
Dual Arch:
From £1900
Moderate
Correction:
Crowding on 6-8 teeth
Treatment Time:
6 - 12 months
Single Arch:
From £1600
Dual Arch:
From £2800
Complex
Correction:
Widespread crowding
Treatment Time:
12+ months
Dual Arch:
From £3,500
Monthly payment options available*
T&Cs apply. Length of credit differs from practice to practice and is adminstered by the individual dental practice and not Denkalign. Credit terms and options will be discussed with you directly with the dentist.
Helping to create perfect smiles discreetly with clear aligners
Experience the magic of Denkalign Invisible Aligners—now available in Peterborough. Denkalign's clear aligners are designed to gently and discreetly transform your smile, without the hassle or cost of traditional braces.
Whether you have a cross bite, over bite, underbite, gaps or crowned teeth Denkaligns clear aligners can help perfect your smile.
Denkalign aligners work with your lifestyle, not against it. Whether you’re at work, out with friends, or on the go, these virtually invisible aligners fit seamlessly into your routine—letting you smile with confidence at every stage of the journey.
Start with a quick online consultation, then follow up with a free in-person clinical assessment in Peterborough. You'll get a full breakdown of your treatment plan, timing, and pricing—so you know exactly what to expect from day one.
Denkalign's smooth experience
"I'm currently doing Denkalign clear aligner treatment and it's been a really smooth experience so far. The aligners were super easy to get used to—after a few days, I barely noticed them. I also had IPR done, and everything has been quick and straightforward. The dentist has been great at fitting appointments around my busy schedule, which I really appreciate. Can't wait to see my final results :) and would definitely recommend this place to anyone thinking about getting aligners."
Denkalign Customer
About the Denkalign provider in Peterborough,
RTW Surgeries
Looking for clear aligners in Peterborough? RTW Surgeries, an official Denkalign clear aligner partner, offers a discreet and effective solution to straighten your teeth without the hassle of traditional braces.
RTW Surgeries is known for its patient-focused care. RTW's team takes the time to listen, ensuring you feel supported and comfortable throughout your clear aligner journey.
Start your smile transformation with Denkalign clear aligners in Peterborough. Book your consultation today and take the first step toward a confident smile!

RTW Surgeries
Denkalign Provider since 2025
88 South Street, Stanground Peterborough, PE2 8EZ
Treatment lengths you can rely on
While many of the leading providers promote impressively short treatment times in their advertising, the reality is often quite different. Patients frequently experience extended treatment durations due to what the industry refers to as "refinements"—additional aligners required to correct plans that haven’t gone as expected. At Denkalign, we offer honest and realistic treatment timelines, developed by highly trained orthodontists. That’s why 86% of our treatment plans are completed with zero refinements.

Smile more today!
Book your free e-consultation get and
begin smiling more with Denkalign.
No pushy sales, just giving you the facts and answering any
questions you may have.

Clear Aligner questions you probably have
How long do clear aligner treatments take?
This is a difficult question to answer as no smile is the same and some teeth require more correction than others, but the average is around 6 months, but you will be given a more accurate timeline during your assessment of how long treatment will take to achieve your desired smile. Some aligner providers estimate 3-6 months but the lower end of that estimate is for simple corrections, usually for people that have already had braces when they were a child, but then the smile has slightly moved into over the years. This means due to the teeth already been corrected they are simple to correct. For these that have never had their teeth aligned the times can vary. That why we would always advise taking advantage of a free assessment to get realistic timeframes for your smile, not take the avaerage of someone else's.
How much do clear aligner treatments cost?
Clear aligner treatments differ depending on the corrections/alignment required. But clear aligners will cost anywhere from around £1500 to £4000 depending on the severity of the correction. That is why its good to take advantage of a the Denkalign free in person consultation. Where a dentist will review your current smile and using their knowledge they can give you a realisitc cost estimate, and feedback on whether aligners can help you.
Are clear aligners invisible?
Clear aligners are very discreet although not completely invisible, but unless someone studies your teeth up close they will never know. We can guarantee you will have pass people on the street with clear aligners but you would never know.
Can I wear my aligners just a night?
For clear aligners to be effective you need to wear them on average for 20-22 hours per day, to ensure the desired tooth movement is achieved, and to ensure you get the smile you expect at the end of treatment. It seems like a big commitment, but it does get easier there are benefits, to clear aligner treatments beyond just helping you achieve a great smile. Learn what other benefits you can expect whilst on your aligner journey!
Do I have to brush my teeth after I eat, before I put my clear aligners back in?
We would always advise that you brush your teeth after eating, for a few reasons. One food particles can distort the aligners, but most of all it can make your aligners dirty, and lead to discolouration of the aligns whilst also creating bad odours.
Do clear aligners hurt? Here's what to expect
Everyone’s experience with clear aligners is unique, but most people report feeling pressure rather than pain. This pressure comes from the gentle force the aligners for teeth apply to shift them into the desired position. The level of pressure can vary depending on which teeth are being moved.
Many clear aligner users notice that the first few days after switching to a new set of aligners are when they feel the most pressure. However, this sensation typically fades as your mouth adjusts. Over time, most patients say they get so used to wearing clear aligners that they barely notice them at all.
If you're considering aligners for teeth straightening, it’s helpful to know that any initial discomfort is usually mild and temporary—and a sign that your clear aligners are doing their job.
Are clear aligners better than traditional braces?
When comparing clear aligners to traditional braces, the main difference lies in the type of dental issues they are designed to correct. Traditional braces are often recommended for more complex or severe tooth movements and must be administered by an orthodontist.
Clear aligners, on the other hand, are an excellent solution for mild to moderate teeth alignment issues. These aligners for teeth offer a more discreet, comfortable, and convenient alternative to metal braces. One major advantage is that clear aligners can often be provided by your regular dentist—eliminating the need for frequent visits to an orthodontic specialist. This not only saves time but can also reduce overall treatment costs.
If you're looking for a subtle, effective way to straighten your smile, clear aligners may be the ideal choice.
How can I get clear aligners in Peterborough?
If you're looking for clear aligners in Peterborough or considering aligner treatment in Peterborough, RTW is the perfect place to begin. As a trusted Denkalign partner, RTW Surgeries is led by an experienced and compassionate team, who provides expert care throughout your clear aligner journey.
Your first step is a quick and easy online consultation. Once completed, the team at RTW Surgeries in Peterboroughwill contact you to arrange a free clinical consultation. During this visit, the RTW team will assess your teeth, provide a detailed clinical estimate of treatment time and costs, and answer any questions you may have about clear aligners.
If you're a suitable candidate and happy with the plan, we’ll take precise digital scans to create your custom clear aligners. Once your aligners are ready, you’ll begin your personalised treatment plan—designed to help you achieve a straighter, more confident smile.
Frequently asked questions
What are Denkalign clear aligners made of?
Neque porro quisquam est, qui dolorem ipsum quia dolor sit amet, consectetur, adipisci velit, sed quia non numquam eius modi tempora incidunt ut labore et dolore magnam aliquam quaerat voluptatem. Ut enim ad minima veniam, quis nostrum exercitationem Neque porro quisquam est, qui dolorem ipsum quia dolor sit amet, consectetur, adipisci velit, sed quia non numquam eius modi tempora incidunt ut labore et dolore magnam aliquam quaerat voluptatem. Ut enim ad minima veniam, quis nostrum exercitationemNeque porro quisquam est, qui dolorem ipsum quia dolor sit amet, consectetur, adipisci velit, sed quia non numquam eius modi tempora incidunt ut labore et dolore magnam aliquam quaerat voluptatem. Ut enim ad minima veniam, quis nostrum exercitationem Neque porro quisquam est, qui dolorem ipsum quia dolor sit amet, consectetur, adipisci velit, sed quia non numquam eius modi tempora incidunt ut labore et dolore magnam aliquam quaerat voluptatem. Ut enim ad minima veniam, quis nostrum exercitationem
What is a Denkalign clear aligner treatment?
Neque porro quisquam est, qui dolorem ipsum quia dolor sit amet, consectetur, adipisci velit, sed quia non numquam eius modi tempora incidunt ut labore et dolore magnam aliquam quaerat voluptatem. Ut enim ad minima veniam, quis nostrum exercitationem
Are Denkalign clear aligner treatments suitable for anyone?
Neque porro quisquam est, qui dolorem ipsum quia dolor sit amet, consectetur, adipisci velit, sed quia non numquam eius modi tempora incidunt ut labore et dolore magnam aliquam quaerat voluptatem. Ut enim ad minima veniam, quis nostrum exercitationem
How does Denkalign differ from other invisible aligner treatments?
Neque porro quisquam est, qui dolorem ipsum quia dolor sit amet, consectetur, adipisci velit, sed quia non numquam eius modi tempora incidunt ut labore et dolore magnam aliquam quaerat voluptatem. Ut enim ad minima veniam, quis nostrum exercitationem
Can you tell you're wearing the clear aligners?
Neque porro quisquam est, qui dolorem ipsum quia dolor sit amet, consectetur, adipisci velit, sed quia non numquam eius modi tempora incidunt ut labore et dolore magnam aliquam quaerat voluptatem. Ut enim ad minima veniam, quis nostrum exercitationem
Can any dentist do a Denkalign treatment?
Neque porro quisquam est, qui dolorem ipsum quia dolor sit amet, consectetur, adipisci velit, sed quia non numquam eius modi tempora incidunt ut labore et dolore magnam aliquam quaerat voluptatem. Ut enim ad minima veniam, quis nostrum exercitationem
Smile more today!
Book your free e-consultation get and
begin smiling more with Denkalign.
No pushy sales, just giving you the facts and answering any
questions you may have.
